Das Zentrum für Interstitielle Lungenerkrankungen Göttingen befasst sich mit interstitiellen Lungenerkrankungen, einer Subgruppe im Spektrum der Lungenerkrankungen. Interstitielle Lungenerkrankungen betreffen das Lungengerüst und enden in vielen Fällen in einer Lungenfibrose. Eine Lungenfibrose ist eine spezielle Form der Lungenvernarbung. Ursachen der Erkrankung sind vielfältig.
herzlich willkommen im Zentrum für Interstitielle Lungenerkrankungen Göttingen. Das Zentrum vereinigt hochspezialisierte Ärztinnen und Ärzte der Lungenmedizin großer Kliniken in Südniedersachsen und Nordhessen – aus Pneumologie, Radiologie, Pathologie und assoziierten Fachgruppen. Wir bieten Patientinnen und Patienten mit Lungengerüsterkrankungen eine Früherkennung, Diagnosefindung und Behandlungsoptimierung an.
Häufig handelt es sich um sogenannte Systemerkrankungen. Diese betreffen neben der Lunge auch weitere Organsysteme. Viele der betroffenen Patientinnen und Patienten entwickeln eine Lungenfibrose, die eine therapeutische Herausforderung ist. In unserem Zentrum arbeiten wir eng mit allen beteiligten Fachgruppen für eine frühzeitige Diagnose und bestmögliche individualisierte Therapie. Die Ärztinnen und Ärzte führen neben Spezialsprechstunden eine regelmäßige gemeinsame Fallkonferenz (ILD-Board) durch. Diese Konferenz verwendet die neuesten internationalen Empfehlungen der Europäischen Respiratorischen Gesellschaft (ERS), der Amerikanischen Thoraxgesellschaft (ATS) und der Britischen Thoraxgesellschaft (BTS) sowie der Deutschen Gesellschaft für Pneumologie und Beatmungsmedizin (DGP) (Quellen 1-5).
Überregionale Kompetenz
Das Zentrum gewährleistet eine regional übergreifende Versorgung betroffener Patientinnen und Patienten in Mitteldeutschland, auch solcher mit unklaren Lungenerkrankungen. Im Vordergrund stehen verbesserte Prognose durch hochakkurate interdisziplinäre Diagnostik, individualisierte Therapieempfehlungen und Qualitätssicherung. Das Zentrum unterstützt diagnostische und klinische Studien als Basis für die wissenschaftliche Erforschung neuer Therapiekonzepte. Diese führen wir gemeinsam mit überregionalen Kooperationspartnern durch.Unser Team betreut Sie individuell für eine schonende Diagnosestellung und Therapie, eine verbesserte Prognose und ggf. eine adäquate Langzeitbetreuung in menschlich-caritativer Zuwendung.
Unsere interdisziplinären Mitglieder im Board des Zentrum sind: Dr. Körber Chefarzt der Abteilung Pneumologie, Dr. Bastian und Dr. Frömel der Sektion Pneumologie der Abteilung Innere Medizin des Marienkrankenhauses Kassel, Dr. Schild der Pneumologie des Klinikums Werra-Meißner, Dr. Lex der Sektion Pädiatrische Pneumologie der Klinik für Pädiatrische Kardiologie der Universitätsmedizin Göttingen, Dr. Hinterthaner der Klinik Herz-, Thorax- und Gefäßchirurgie der Universitätsmedizin Göttingen und Prof. Ströbel Direktor des Instituts für Pathologie der Universitätsmedizin Göttingen.
Lernen Sie auf den folgenden Seiten das diagnostische und therapeutische Spektrum interstitieller Lungenerkrankungen kennen.
Mit herzlichen Grüßen
Ihr
Prof. Dr. Christoph Engelke
Für die Diagnose interstitieller Lungenerkrankungen ist ein reguläres gemeinsames ILD Board-Meeting von Radiologie, Pneumologie und Pathologie erforderlich. Dieses Prinzip entspricht dem internationalen CRP-Diagnosestandard. Auf Basis dieser Diagnose wird das weitere therapeutische Vorgehen interdisziplinär empfohlen. Pro Jahr erhalten ca. 250 Patientinnen und Patienten Empfehlungen des Boards. Wir behandeln zwischen 500 und 700 Patientinnen und Patientinnen jährlich. Durch langjährige Forschungserfahrung profitieren unsere Patientinnen und Patienten von der einschlägigen Expertise der Board-Mitglieder aus internationalen Referenzzentren für interstitielle Lungenerkrankungen: Royal Brompton Hospital London; Great Ormond Street Hospital for Sick Children London; Guy’s and St. Thomas‘ Hospital Trust London, St George’s Hospital London.
Das monatlich tagende ILD-Board wird gemeinsam von zwei Pneumologinnen bzw. Pneumologen, einem bis zwei Radiologinnen bzw. Radiologen und einem Pathologen durchgeführt. Es gewährleistet die konsistente leitliniengetreue CRP-Diagnostik als Basis für unsere Therapieempfehlungen. Weitere Informationen finden Sie unter der Rubrik: Anmeldung im ILD-Board.
Hochspezialisierte Modalitäten (Volldigitales Röntgen, 80-Zeilen Multidetektor Spiral-CT, 3-Tesla MRT) wenden in ihrer Rekonstruktions-Software sowie nachgeschalteten diagnostische Algorithmen künstlicher Intelligenz an und gewährleisten eine hoch akkurate Diagnostik bei schonender Patientenversorgung. Neben Methoden zur automatischen Detektion und Volumetrie pathologischer Areale kommen Untersuchungsverfahren zur Lungenperfusion und -ventilation zum Einsatz. Die CT-gesteuerte Bronchusnavigation wird neben anderen Methoden als minimal-invasives Biopsieverfahren eingesetzt. Bei diesem Bildfusionsverfahren fungieren hoch aufgelöste CT-Datensätze als interaktive Karte (Roadmap) zur bronchoskopischen Biopsiegewinnung und ergänzen neben der CT-gesteuerten transthorakalen Biopsie die Kryobiopsie und offene Lungenbiopsie-Verfahren.
Fünf verschiedene Erkrankungsbilder treten in Mitteldeutschland besonders häufig auf: Sarkoidose, Hypersensitivitätspneumonitis (HP), nichtspezifische interstitielle Pneumonie (NSIP), idiopathische pulmonale Fibrose (IPF) und organisierende Pneumonie (OP). Bei der NSIP, der IPF und der OP ist häufig keine ursächliche Erkrankung identifizierbar. Gleichwohl existiert eine hohe Anzahl sekundärer Erkrankungen mit vielfältigen Ursachen, die die Diagnose komplex gestalten. Zu den häufigsten Ursachen gehören neben Autoimmunerkrankungen, Zigarettenrauch, Asbest, externe Antigene/Allergene sowie Medikamente (s.u.).
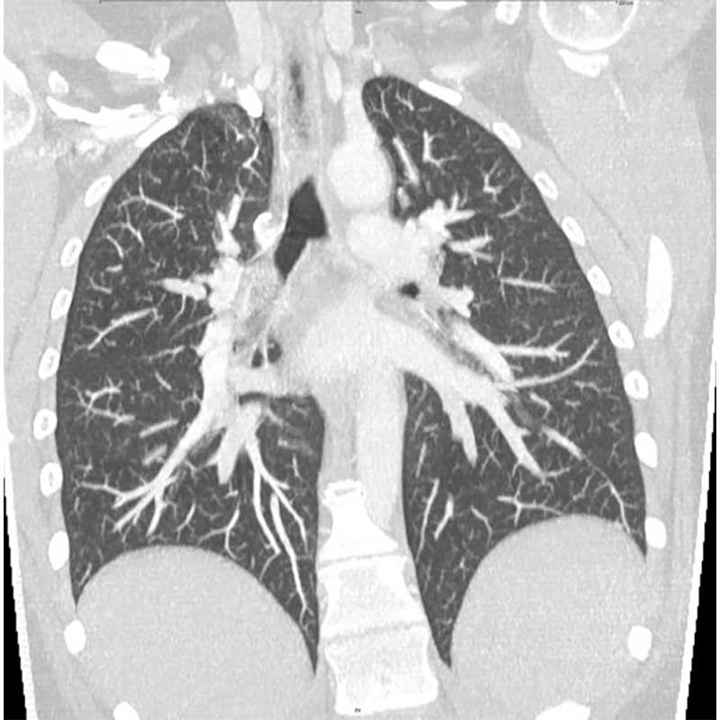
Die Lunge beinhaltet drei räumliche Anteile, sogenannte Kompartimente: Gewebe, Luft und Blut. Das Lungengewebe bildet das Organgerüst und die Gasaustauschfläche. Luft und Blut sind stets getrennt und dennoch in engem Kontakt, sodass Sauerstoff und Kohlendioxyd durch Gewebsübertritt (Diffusion) effizient ausgetauscht werden. Die Anforderungen an das System als Ganzes und besonders an die Gasaustauschregionen mit der „Luft-Blut-Schranke“ sind enorm. An den schmalsten Stellen ist die Gewebebarriere 50-mal dünner als ein Luftpostbriefpapier (~0,2 μm). Trotzdem tritt beim Atmen – und selbst beim Husten – kein Blut in das Luftkompartiment (Alveolarraum) aus. Die Inhalte der Luft- und Blutkompartimente fließen und erneuern sich ständig: das Luftvolumen durch die von der Atemmuskulatur erzeugten Volumenänderungen des Thoraxraums (Brustkorbs), das Blut in den pulmonalen (rechten) und bronchialen (linken) Kreisläufen durch die Pumpaktion des Herzens.
Die innere Spannung – als Formgeber der Organgestalt – ermöglicht die beschriebene Diffusion bis in die kleinsten funktionell-anatomischen Einheiten (Acini). Bestimmt wird diese innere Spannung durch das bindegewebige Lungengerüst (Lungeninterstitium) und seine verschiedenen Anteile und Auskleidungen der Lungenbläschen (Alveolen) mit einer grenzflächenaktiven Substanz (Surfanctant). Das Lungeninterstitium besteht im Wesentlichen aus einer extrazellulären Matrix, d.h. Bindegewebsanteilen außerhalb der Zellstruktur. Hierzu zählen z.B. Typ-I- und Typ-III-Kollagen, Elastin, Proteoglykane und nichtkollagene Glykoproteine wie z. B das Fibronektin.
Durch spärlich verteilte Fibroblasten wird die Matrix in Quantität, Aufbau und Zusammensetzung gepflegt und im Gleichgewicht gehalten, und zwar bis in die Lungenperipherie hinein.
Wenn das Gleichgewicht der Anteile von Lungeninterstitium und zellulären Bestandteilen gestört ist, können benachbarte Organanteile vernarben (Fibrosierung). Eine Lungenfibrose entsteht. Oder pathologische Zellen und deren Bestandteile lagern sich ab, was ein breites Spektrum akuter oder chronischer interstitieller Lungenerkrankungen hervorrufen kann.
Wir bieten Früherkennung, Diagnosefindung und Behandlungsoptimierung für das gesamte Spektrum interstitieller Lungenerkrankungen:
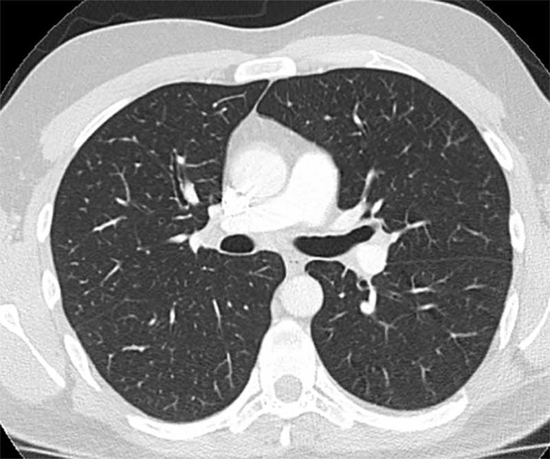
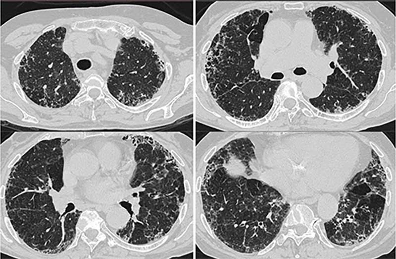
Die Lungenfibrose, auch bekannt als pulmonale Fibrose, ist eine schwere Erkrankung, bei der Lungengewebe vernarbt. Diese Erkrankung tritt auf, sobald die Alveoli bzw. Azini, die kleinsten funktionell anatomischen Einheiten des Lungengerüsts, entzündet sind und während eines versuchten Heilungsprozesses Vernarbungen (Fibroseareale) ausbilden. Eine Heilung bzw. Umkehr eines bereits erfolgten Fibroseumbaus zu normalem Lungengewebe ist in der Regel nicht möglich (s.u.). Eine Lungenfibrose betrifft hunderttausende Patientinnen und Patienten weltweit. Häufig ist sie mit einer eingeschränkten Prognose innerhalb von fünf Jahren verbunden. Die Therapie zielt auf einen verlangsamten Erkrankungsprozess. In den schwersten Fällen ist eine Lungentransplantation nötig.
Symptome
Sobald die Azini bei einer Fibrose vernarben, wird Lungengewebe durch Narbengewebe ersetzt. Fibrosegewebe ist steifer und dicker als normales Lungengewebe und verhindert den Sauerstoffaustausch in den Azini. Die Veränderungen führen zu Kurzatmigkeit und chronischem Reizhusten sowie Erschöpfung und Engegefühl im Thorax. Je weiter die Erkrankung fortschreitet, desto schwieriger wird es für die Patientin bzw. den Patienten, zu atmen.
Ursachen
Eine Vielzahl von Erkrankungen kann in eine Lungenfibrose einmünden. Mögliche Ursachen sind: Inhalation von Substanzen wie Asbest, Stein- oder Metallstaub, Allergenexposition, intrinsische Entzündung wie bei der Sarkoidose oder Erkrankungen des Rheumatischen Formenkreises und die Toxizität bestimmter Medikamente. In den meisten Fällen bleibt eine Ursache allerdings unbekannt, d.h. idiopathisch.
Risikofaktoren
Das Rauchen von Zigaretten ist einer der größten Risikofaktoren für eine Lungenfibrose. Auch Luftverschmutzung in der Umgebung von Baumaßnahmen, Landwirtschaft oder Bergbau setzt viele Menschen einem relevanten Risiko aus. Auch genetische Prädisposition und höheres Alter sind Einflussfaktoren.
Diagnose
Die Diagnostik beginnt mit einer professionellen Befragung (Anamnese) und klinischen Untersuchung. Viele Faktoren werden berücksichtigt – u.a. die berufliche und örtliche Umgebung, die Vorgeschichte, Hobbys und die Verwendung legaler oder illegaler Drogen. Standarduntersuchungen sind: Blutuntersuchungen, Lungenfunktionsdiagnostik, Thorax-CT und Bronchoskopie. Eine Lungenbiopsie kann nach Beurteilung des ILD-Boards notwendig werden. Die Biopsie, die Entnahme von Lungengewebe, und nachfolgende histologische Aufarbeitung beim Pathologen gelten jedoch nicht mehr als einzige Methode der Diagnosesicherung. Sie ist – neben klinischer Informationen und Computertomographie – eine von drei validen Methoden, die das ILD-Board gewichtet, heranzieht und abstimmt.
Therapie
Die Therapie zielt zuerst darauf, eventuelle Auslöser, wie zum Beispiel Zigarettenrauch oder Allergene, zu beseitigen. Zahlreiche etablierte und neue medikamentöse Therapieansätze können die Prognose und die Lebensqualität positiv beeinflussen. Diese wählen wir ggf. auch mit Hilfe gentechnischer Untersuchungen aus. Patientinnen und Patienten mit fortgeschrittenen Erkrankungen evaluieren wir für eine Transplantationslistung.
Als Systemerkrankungen werden alle Krankheiten bezeichnet, die sich auf ein gesamtes oder mehrere Organsysteme auswirken: z.B. die Haut, das zentrale Nervensystem, das Skelett und die Muskulatur (muskuloskelettales System). Den systemischen Erkrankungen stehen die lokalisierten Erkrankungen gegenüber. Hier ist nur ein Organ oder ein Teil eines Organes von der Erkrankung betroffen. Systemerkrankungen bzw. generalisierte Erkrankungen können sich auch mehr oder weniger unspezifisch auf den gesamten Körper auswirken. Das beinhaltet u.a. rheumatoide Arthritis (klassische Rheumaerkrankung), Diabetes mellitus, Mukoviszidose oder Sarkoidose.
Systemerkrankung am Beispiel Sarkoidose
Die Sarkoidose ist die häufigste Systemerkrankung mit Beteiligung des Lungengerüsts. Sie tritt in Deutschland weitaus häufiger auf als die Tuberkulose, überwiegend in der ersten Lebenshälfte mit einer Prävalenz von 40/100.000 Einwohnern. Die Sarkoidose kann nahezu jedes Organ befallen. Die Ursache ist trotz intensiver Forschung bislang ungeklärt. Die Infekthypothese wird durch die Beobachtung gestützt, dass die Erkrankung z.B. nach Knochenmarkstransplantation auf die Empfängerin bzw. den Empfänger übertragen werden kann. Bei vielen Sarkoidosepatientinnen und -patienten lassen sich zudem sogenannte L-Formen von Mykobakterien (Spontanmutationen von Tuberkulosebakterien ohne Zellwand) nachweisen. Auch andere Bakterien und Viren werden auf ein infektiöses Potential untersucht. Der Verlauf kann nur selten vorhergesagt werden. Bei den meisten Patientinnen und Patienten verläuft die Erkrankung gutartig und bleibt folgenlos. Jedoch ist in anderen Fällen eine systemische Gabe von Glucocorticoiden notwendig. Diese wird oft zusätzlich von einer Therapie mit Immunsuppressiva unterstützt.
Bei der Sarkoidose entstehen durch eine Immunreaktion mikroskopisch kleine Knoten (Granulome) in den betroffenen Organen. Diese schmelzen nicht wie bei Tuberkulose im Zentrum ein. Sonst gleichen sich die Granulome beider Erkrankungen stark. Wo immer diese Granulome auftreten, wird der Körper in Mitleidenschaft gezogen.
Häufigkeit der Organbeteiligungen bei Sarkoidose (Quelle 6)
Organ
Häufigkeit der Beteiligung (in Prozent)
Lunge
95
Haut / Erythema nodosum
15,9 / 8,3
Augen
11,8
Leber
11,5
Milz
6,7
Nervensystem
4,6
Speicheldrüsen, Parotis
3,9
Knochenmark
Calciumstoffwechsel
3,7
Hals, Nase, Ohren
3,0
Herz
2,3
Niere, Knochen, Muskeln
0,4-0,7
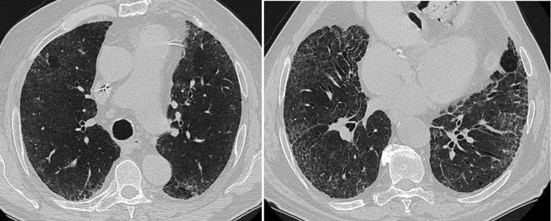
Die Sarkoidose ist die häufigste Erkrankung des Lungengerüstes überhaupt. Patientinnen und Patienten suchen regelmäßig mit pulmonalen Symptomen wie Luftnot oder Husten die Lungenfachärztin bzw. den Lungenfacharzt auf. Fast bei der Hälfte aller Fälle werden die Granulome jedoch als Zufallsbefund bei symptomfreien Patientinnen und Patienten entdeckt. Das Röntgenbild der Lunge löst dann weitere Tests aus bzw. die computertomographische Bildgebung. Die Erkrankung lässt sich nicht regelhaft an einem Röntgenbild allein diagnostizieren.
Es gibt vielfältige morphologische Erscheinungsbilder der Erkrankung in der Lunge mit Überlappungen zu anderen Erkrankungen. Die Diagnose in der Computertomographie kann deshalb anspruchsvoll sein. Dabei ist unklar, warum sich die Sarkoidose im Einzelfall so unterschiedlich verhält – abgesehen von der Frage der Organbeteiligung. Die Verlaufsformen werden in akut oder chronisch eingeteilt. Akute Formen der Sarkoidose beginnen häufig mit Gewichtsverlust, Abgeschlagenheit, Nachtschweiß oder Temperaturen 37,5°C bis 37,9°C (subfebril). Die Kombination von Gelenkschmerzen, bläulichem Hautausschlag und Fieber ist als sogenanntes Löfgren-Syndrom bekannt. Entzündungsparameter im Blutserum schließen eine erhöhte Konzentration von Interleukin-2-Rezeptoren ein. Die akute Sarkoidose betrifft neben der Lunge oft weitere Organe, z.B. lymphatische Organe, Milz, Leber und Knochenmark. Akute Verlaufsformen ohne Beteiligung der Milz tendieren zur Spontanheilung (Spontanremission). Wiederauftreten (Rezidive) manifestiert sich hingegen meistens mit akuten Symptomen.
Die chronische Form verläuft langsamer und ist medikamentös schwieriger zu therapieren. Besonders wenn das Herz oder das Gehirn beteiligt sind. Ferner kann es bei einer chronischen Lungenfibrose zu massiven Organschäden kommen – besonders bei der fibrozystischen Verlaufsform. Eine Nierenbeteiligung kann ohne Therapie zum Nierenversagen führen.
Auch die ethnische Herkunft der Patientinnen und Patienten ist von Bedeutung. Dunkelhäutige Bürgerinnen und Bürger westlicher Industrienationen haben ein erhöhtes Risiko, schwer zu erkranken. Genetische Ursachen gelten hier, wie auch bei familiärer Häufung, als wahrscheinlich. Die molekulare genetische Basis ist jedoch noch weitgehend unbekannt.
Die Diagnose erfolgt anhand: typischer Hautveränderungen, Lymphknotenvergrößerungen, morphologischer Veränderungen der Lunge in der Computertomographie und / oder des Nachweises von Sarkoidose-Granulomen im Gewebe. Besonders die Abgrenzung zu anderen Systemerkrankungen kann erhebliche Probleme aufwerfen, auch nach histologischer Abklärung. Das spezialisierte ILD-Board entscheidet interdisziplinär, welche diagnostische Methode wir im Einzelfall heranziehen.
Die Sarkoidose heilt bei mehr als der Hälfte der Patientinnen und Patienten folgenlos aus. Für eine Behandlung gibt es klare Indikationen: Eine Patientin bzw. einen Patienten mit pulmonaler Sarkoidose behandeln wir, wenn zunehmender Husten, Kurzatmigkeit oder Thoraxschmerzen auftreten, sich die Lungenfunktionsparameter relevant verschlechtern oder in der Computertomographie eine Lungenveränderungen zu einer Fibrose nachzuweisen ist.
Sind Augen, Herz, Gehirn oder Nieren beteiligt sowie bei verändertem Calciumstoffwechsel ist immer eine Therapie nötig – auch bei geringen Beschwerden. Patientinnen und Patienten mit starker Allgemeinsymptomatik oder Gelenk- bzw. neurologischen Beschwerden, entscheiden abhängig von der Schwere der Symptome gemeinsam mit der Ärztin bzw. dem Arzt über eine Therapie.
Die klassische Therapie ist die Gabe von Glucocorticoiden. Allgemein sprechen die akuten Symptome auf Glucocorticoide sehr gut an. Bisher gibt es jedoch keine Untersuchungen, die belegen, dass eine Langzeitgabe tatsächlich das Fortschreiten der Erkrankung verlangsamt oder einer Lungengewebszerstörung effektiv vorbeugt. Angesichts der Nebenwirkungen einer längeren Glucocorticoid-Medikation ist dies aber sehr bedeutend.
Bei ca. sieben Prozent der Patientinnen und Patienten gelingt es nicht, die Krankheit mit Glucocorticoiden allein zu kontrollieren. In diesen Fällen weichen Ärztinnen und Ärzte auf Alternativen oder Kombinationen aus. Üblicherweise sind dies Immunsuppressiva wie Methotrexat, Cyclophosphamid, Azathioprin, Cyclosporin oder TNF-α-Antagonisten. Die Wirksamkeit dieser Medikamente gegen Sarkoidose ist jedoch noch nicht anhand größerer unabhängiger Studien belegt.
In Deutschland ist die Kombination von Methotrexat oder Azathioprin mit Prednisolon gebräuchlich. Gegebenenfalls werden die drei Wirkstoffe auch kombiniert. Eine Alternative ist die zusätzliche Gabe eines TNF-α-Antagonisten (Etanercept oder Infliximab) zu Prednisolon. Eine amerikanische Studie zeigte einen positiven Einfluss von Infliximab auf Lungenfunktion und Hautveränderungen. Die Daten reichten jedoch nicht für eine Zulassung bei der FDA aus. Der Wirkstoff ist für die Sarkoidosetherapie daher in Deutschland nicht zugelassen. Die behandelnde Ärztin bzw. der behandelnde Arzt muss die Kostenübernahme individuell mit der Krankenkasse der Patientin bzw. des Patienten aushandeln.
Eine hochdosierte Therapie mit Cyclophosphamid und Prednisolon kommt nur bei unkontrollierter Entzündungsaktivität in Frage. Bei dennoch fortschreitender Zerstörung des Lungengewebes wird in seltenen Fällen die Lungentransplantation angestrebt.
Prof. Dr. Christoph EngelkeSprecher des Zentrum für Interstitielle Lungenerkrankungen GöttingenChefarzt der Abteilung Diagnostische und Interventionelle RadiologieEvangelisches Krankenhaus Göttingen-WeendeE-Mail: engelke@ekweende.de
Dr. Wolfgang KörberChefarzt der Abteilung Pneumologie, Beatmungsmedizin und SchlaflaborEvangelisches Krankenhaus Göttingen-WeendeE-Mail: koerber@ekweende.de
Prof. Dr. Michael KarausMedizinscher GeschäftsführerChefarzt der Abteilung Innere MedizinEvangelisches Krankenhaus Göttingen-WeendeE-Mail: inneremedizin@ekweende.de
Dr. Cordula BuckOberärztin und Sektionsleiterin Pneumologie der Klinik für Kardiologie und PneumologieUniversitätsmedizin GöttingenE-Mail: cbuck@med.uni-goettingen.de
Dr. Andreas BastianChefarzt Klinik für PneumologieMarienkrankenhaus KasselE-Mail: a.bastian@marienkrankenhaus-kassel.de
Priv.-Doz. Dr. Christiane LexOberärztin Sektionsleitung Kinderpneumologie, Pädiatrische AllergologieKlinik für Pädiatrische Kardiologie und Intensivmedizin mit Neonatologie und Päd. PneumologieUniversitätsmedizin GöttingenE-Mail: christiane.lex@med.uni-goettingen.de
Prof. Dr. Katharina Marten-EngelkePraxis für Moderne Schnittbilddiagnostik GöttingenE-Mail: marten-engelke@gmx.de
Prof. Dr. Philipp StröbelDirektor Institut für PathologieUniversitätsmedizin GöttingenE-Mail: philipp.stroebel@med.uni-goettingen.de
Das ILD-Board tagt am dritten Dienstag jedes Kalendermonats um 17:00 Uhr in der Abteilung für Diagnostische und Interventionelle Radiologie im Wilhelm-Konrad-Röntgen-Konferenzraum im Untergeschoss des EKW, Haus 1A. Termine können sich in der Schulferienzeit verschieben (Terminkalender 2022). Telefonkonferenzen sind möglich.
Zur Anmeldung von Patientinnen und Patienten für das ILD-Board durch Pneumologen, Radiologen und Pathologen oder assoziierten Fachgebieten bitten wir um Zusendung folgender Unterlagen bis 4 Tage vor der Konferenz:
jeden Dienstag, 08:45 bis 09:45 UhrWilhelm-Conrad-Röntgen-KonferenzraumUntergeschoss Haus 1AEvangelisches Krankenhaus Göttingen-WeendeAn der Lutter 2437075 Göttingen
Die Veranstaltung ist mit 2 Fortbildungspunkten der Ärztekammer Niedersachsen zertifiziert.
Pausiert während Corona-Kontaktbeschränkungen in Kraft getreten sind
Wir laden Sie herzlich zu unserem Weender Forum Radiologie ein. Die Veranstaltungsreihe ist auf Radiologinnen und Radiologen und Ärztinnen und Ärzten der behandelnden klinischen Fachgebiete ausgerichtet. Neben klinisch tätigen Kolleginnen und Kollegen möchten wir auch niedergelassene Ärztinnen und Ärzte ansprechen. Expertinnen und Experten aus Hepatologie, interventioneller Therapie, Thoraxmedizin und muskuloskelettaler Bildgebung stellen sich in einem interaktiven interdisziplinären klinisch-radiologischen Forum Ihren Fragen. Nähere Informationen und Termine entnehmen Sie bitte dem Veranstaltungskalender.
30.8.
20.9.
11.10.
15.11.
13.12.
Dr. Wolfgang KörberAbteilung Pneumologie, Beatmungsmedizin, SchlaflaborEvangelisches Krankenhaus Göttingen-WeendeAn der Lutter 2437075 GöttingenAnfahrt
Prof. Dr. Christoph EngelkeAbteilung Diagnostische und Interventionelle RadiologieEvangelisches Krankenhaus Göttingen-WeendeAn der Lutter 2437075 GöttingenAnfahrt
Dr. Marc HinterthanerKlinik für Thorax-, Herz- und GefäßchirurgieUniversitätsmedizin GöttingenE-Mail: marc.hinterthaner@med.uni-goettingen.de
Dr. Sigrid VerlaanKlinik für Lungen und BronchialmedizinKlinikum KasselE-Mail: sigrid.verlaan@klinikum–kassel.de
Dr. Michael MetzOnkologische Schwerpunktpraxis GöttingenE-Mail: dr.metz@praxisonkologie.de
Prof. Dr. Gerald WulfKlinik für Hämatologie und Klinische OnkologieUniversitätsmedizin GöttingenE-Mail: gwulf@med.uni-goettingen.de
Prof. Dr. Volker J. J. Schettler, Dr. Egbert G. Schulz, Dr. Gerrit C. HagenahNephrologisches Zentrum GöttingenE-Mail: info@nz-goe.de
Prof. Dr. Cornelia S. SeitzKlinik für Dermatologie, Venerologie und AllergologieUniversitätsmedizin GöttingenE-Mail: c.seitz@med.uni-goettingen.de