Eine Gruppe von Menschen in Arbeitskleidung steht auf einer Wiese unter blühenden Bäumen im Freien.

Liebe Patientin, lieber Patient,

herzlich willkommen in der Abteilung für Diagnostische und Interventionelle Radiologie.

Wir versorgen die ambulanten und stationären Patientinnen und Patienten des Evangelischen Krankenhauses Göttingen-Weende an seinen Standorten mit modernsten bildgebenden Verfahren. Hierzu nutzen wir das gesamte Spektrum der radiologischen Diagnostik – volldigitales Röntgen, Durchleuchtung sowie Sonographie, Computertomographie (CT), Kernspintomographie (MRT) und Digitale Subtraktionsangiographie (DSA). Wir kooperieren eng mit unseren klinischen Fachbereichen und den Kliniken der Universitätsmedizin Göttingen. Zusätzlich sind wir bundesweit mit einer Vielzahl externer Spezialistinnen und Spezialisten vernetzt.

 

Lernen Sie auf den folgenden Seiten uns und unsere Arbeit kennen.

 

Mit herzlichen Grüßen

Ihr
Prof. Dr. med. Christoph Engelke
Chefarzt

engelke-2.jpg
Prof. Dr.
Christoph Engelke
Blaues Schild mit der Aufschrift: "DRG-ZENTRUM Muskuloskelettale Radiologie" und Symbol darunter.
Logo: Zentrum für Interstitielle Lungenerkrankungen Göttingen, mit einer stilisierten Darstellung von Lungen.

Untersuchungs- und Behandlungsspektrum

Das Team

MTRA-Team

 

Veronika Bentfeld, Erika Dötschel, Martina Götz, Alessa Gries, Anja Haepe, Nicole Harms, Maria Hartmann, Brigitte Hausfelder, Sabine Henniges, Julia Isermann, Katharina Jahnel, Verica Kovacevic, Dorothee Kranich, Sonja Radisch, Adil Shah, Claudia Siefert, Theepa Tharmarajah, Andrea Wenderoth, Annette Wippermann.

 

Ärzte und Pflegepersonal in blau arbeiten an Computern und überwachen medizinische Scans in einem Krankenhausbüro.
Ärzte in einem medizinischen Kontrollraum mit Monitoren, einer Uhr an der Wand und jemandem, der durch den Raum geht.

Lernen Sie unsere Spezialisten kennen

Zum Profil
Chefarzt
Prof. Dr. Christoph Engelke
Diagnostische und Interventionelle Radiologie
Zum Profil
Leitender Oberarzt
Dr. Johannes Gossner
Diagnostische und Interventionelle Radiologie
Zum Profil
Oberarzt
Dr. Mischa Eichmann
Diagnostische und Interventionelle Radiologie
Zum Profil
Oberärztin
Dr. Joëlle Rusteberg
Diagnostische und Interventionelle Radiologie
Zum Profil
Fachärztin
Adelin Anastasha
Diagnostische und Interventionelle Radiologie
Ärztin
Lara Bierwirth
Diagnostische und Interventionelle Radiologie
Arzt
Timm B. Schemmerling
Diagnostische und Interventionelle Radiologie

Kontakt

Abteilung Diagnostische und Interventionelle Radiologie

Sekretariat und Zentralkoordination

Frau Alpers

Tel: 0551 5034-1371

Fax: 0551 5034-1661

 

Ansprechpartner und Sprechstunden

Sekretariat und Zentralkoordination

Frau Alpers

Tel: 0551 5034-1371

Fax: 0551 5034-1661

 

 

Telefonsprechstunde Terminvereinbarung

Tel: 0551 5034-1273

 

Sprechstunde für Privatpatienten, Selbstzahler, BG-Patienten

Tel: 0551 5034-1371

 

Ambulanz für seltene Gefäßerkrankungen

Tel: 0551 5034-1371

Fax: 0551 5034-1661

 

Ansprechpartner zu Kontakt und Anfahrt

Anmeldung - Frau Busse, Frau Ellermann, Frau Nette

Tel: 0551 5034-1273

Fax: 0551 5034-1127

 

Terminvergabe ambulante CT/MRT

Tel: 0551 5034-1273

 

Kontakt leitende MTRA

Frau Wenderoth

Tel: 0551 5034-1494

Kontakt stellvertretende MTRA-Leitung

Frau Isermann

Tel: 0551 5034-1782

Ansprechpartner für Ärzte und Überweiser

Ansprechpartner für Ärzte

Prof. C. Engelke

Tel: 0551 5034-1371

 

Dr. J. Gossner

Tel: 0551 5034-1273

 

Dr. M. Eichmann

Tel: 0551 5034-1273

 

Modalitäts- und Teilgebiets-spezifische Anmeldung bitte über 0551 5043-1373:

 

  • Radiographie: Dr. C. Bornkessel

 

  • Sonographie: Frau D. Ondrusch

 

  • CT: Dr. J. Gossner

 

  • MRT: Dr. M. Eichmann, Dr. J, Krahlisch

 

  • Thoraxradiologie: Prof. C. Engelke

 

  • Muskuloskelettale Radiologie: Dr. J. Krahlisch, Dr. M. Eichmann

 

  • Neuroradiologie: Dr. M. Eichmann

 

  • Kardiovaskuläre Radiologie: Dr. J. Gossner, Prof. C. Engelke

 

  • Hepatologisch-gastroenterologische Radiologie: Dr. J. Gossner, Prof. C. Engelke

 

  • Onkologische Radiologie: Dr. J. Gossner, Prof. C. Engelke

 

  • Allgemeine abdominelle Bildgebung: Frau A. Anastasia, Frau D. Ondrusch, Dr. C. Bornkessel

 

  • Uroradiologie und gynäkologische Radiologie: A. Anastasia, Dr. M. Eichmann, Dr. J. Gossner

 

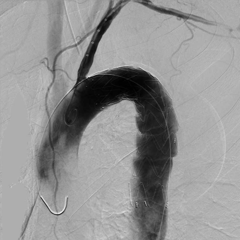
  • Endovaskulär-minimalinvasive Therapieverfahren: Prof. C. Engelke

 

  • Nonvaskulär-minimalinvasive Therapieverfahren: Dr. J. Gossner, Prof. C. Engelke

 

  • Interdisziplinäre Diagnostik und Therapie seltener Gefäßerkrankungen: Prof. C. Engelke

 

Ansprechpartner für sonstige Überweiser und Patienten

Anmeldung

Frau Busse, Frau Drogge, Frau Nette

Tel: 0551 5034-1273

Fax: 0551 5034-1127

 

Terminvergabe ambulante CT/MRT

Tel: 0551 5034-1273

 

Sekretariat und Zentralkoordination

Frau Alpers

Tel: 0551 5034-1371

Fax: 0551 5034-1661

 

Sprechstunde für Privatpatienten, Selbstzahler, BG-Patienten

Tel: 0551 5034-1371

 

Ambulanz für seltene Gefäßerkrankungen

Tel: 0551 5034-1371

Fax: 0551 5034-1661

Zentren und Spezialambulanzen

Zentren

 

Spezialambulanzen

Patientendokumente

Ansprechpartner für Patientendokumente

Frau Busse, Frau Ellermann, Frau Nette

Tel: 0551 5034-1273

Fax: 0551 5034-1127

Sozial- und Entlassmanagement

Sozial- und Entlassmanagement: Frau Sylvia Holtz-Wörmcke

Fort- und Weiterbildung

Ausbildung junger Ärztinnen und Ärzte zum Facharzt für Radiologie

Unsere Abteilung bietet mit 60 Monaten Weiterbildungsermächtigung die volle Ausbildung zum Facharzt für Radiologie. Wir bieten die typische Bandbreite einer allgemeinen Radiologie sowie – in den Großgerätedisziplinen zusammen mit unseren hochspezialisierten Fachbereichen – State-of-the-Art-Imaging und neueste Technik für Datenakquisition und Nachverarbeitung. Für Fragen zu Schwerpunkten und Arbeitsabläufen sind Studenten außerhalb des praktischen Jahres für eine Famulatur willkommen.

 

Bitte wenden Sie sich an Frau Alpers, Sekretariat Prof. Engelke.

 

Interner Fortbildungskalender und PJ-Rotationsplan (folgt)

 

Externe Fortbildungen / Symposien (folgt)

 

Medizinische Kooperationen (folgt)

 

Caritative Kulturarbeit (folgt)