Somatischer Bereich - Therapie

Die Interventionelle Radiologie stellt ein Teilgebiet der Radiologie dar, die minimal-invasive Behandlungsmethoden mit Hilfe radiologischer Technik zum Einsatz bringt. Im Gegensatz zum englischsprachigen Raum stellt dieses Fachgebiet in Deutschland kein eigenständiges Feld dar, sondern gehört zur diagnostischen Radiologie, bzw. zur Kardiologie, zur Gastroenterologie oder sogar zu mehreren Fachgebieten, wie Radiologie, Gefäßchirurgie und Angiologie, die mitunter um die Ausführung dieser Prozeduren konkurrieren können. In unserem kooperativen Zentrum sind die Zuständigkeiten klar zugeordnet. Wesentlicher Bestandteil der Interventionellen Radiologie ist somit die Durchführung von minimal-invasiven Therapien unter Bildsteuerung in vaskulären oder nicht-vaskulären Settings:

Endovaskulär-Minimalinvasive Therapieverfahren

Beispiele für vaskulär-interventionelle Therapien sind endovaskuläre Prozeduren zur Gefäßreparatur (am häufigsten Aneurysmata, Defekte mit akuten Blutungen oder Verschlüssen). Hier kommen Gefäßprothesen, sogenannte Stentgrafts, oder auch Materialien zum Verschluss von Defekten, am häufigsten ebenso Gefäßprothesen, aber auch Spiralen, Klebstoffe und Partikel zum Einsatz. Dem gegenüber stehen rekanalisierende Verfahren, die zum Ziel haben, pathologisch verengte oder verschlossene Gefäße mit physiologischem Durchmesser zu rekonstruieren bzw. zu rekanalisieren. Hierbei kommen neben mechanischen Verfahren mit Ballondilatation (PTA in verschiedenen mechanischen Anwendungsarten) oder Stents oder mechanischen Spezialverfahren (Aspiration, Rotations-basierte Rekanalisation) pharmakologische Eingriffe zum Auflösen (Lyse) von verschließenden Thromben zum Einsatz oder antiproliferative Beschichtungen zur Vorbeugung einer sog. Neointimabildung zum Einsatz.

Schwarz-weiße medizinische Bildgebung, möglicherweise Angiogramm, zeigt Blutgefäße mit Kontrastmittel.
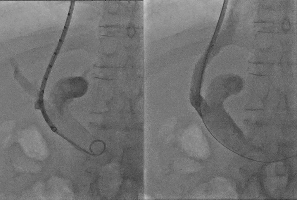
Röntgenaufnahme der Aorta mit Kontrastmittel, zeigt den Blutfluss und mögliche Anomalien.

Andere Erkrankungen können mechanische protektive Maßnahmen zum Schutz vor perioperativen Lungenembolien erforderlich machen, sog. Cavafilter, in der unteren Hohlvene platzierte Metallfilter, die größere Thromben im Blutstrom aufhalten. Meist werden diese Filter oder Schirmchen nach einer Zeit von bis zu drei Monaten wieder entfernt.

Des Weiteren ist der die Embolisation zum Verschluss Tumor-versorgender Gefäße eine etablierte Methode um verschiedenste Malignome zu verkleinern oder gänzlich zum Absterben zu bringen, um eine Tumorerkrankung zu heilen bzw. ihre Prognose und die Lebensqualität entscheidend zu verbessern. Embolisationsmaterialien werden hier in der Regel mit Chemotherapeutika kombiniert, um den Effekt nachhaltig zu vergrößern. Diese Verfahren gestatten, die im Tumorgewebe erzielbare Konzentration von Therapeutika um ein Vielfaches gegenüber der iv.-Gabe ohne gefährliche Nebenwirkungen zu erhöhen. Eine Sonderform dieses Therapieansatzes stellt die Chemosaturationstherapie dar.

Eine relativ hoch-spezialisierte Therapie zur Konditionierung des Volumens des linken Leberlappens vor chirurgischer Entfernung der Tumor-erkrankten rechten Leber ist die perkutan-transhepatische Embolisation von Ästen der Pfortader. Diese Therapie induziert eine beschleunigte Hypertrophie, sodass der Patient unter kurativem Ansatz mit einem kleineren Leberresiduum dauerhaft überleben kann.

Patienten mit Leberzirrhose und zunehmender portaler Hypertension (Hochdruck im Darmvenensystem) profitieren unter bestimmten Umständen von der Anlage eines sog. Transjugulären Intrahepatischen Porto-systemischen Stent-Shunts (TIPS). Hierbei wird eine Gefäßprothese in einen völlig neuen Trakt durch das Leberparenchym platziert, um einen Pfortaderast mit einem Ast der Lebervene zu verbinden und durch den Blutfluss in diesem Shunt einen weitgehenden Druckausgleich mit Druckminderung im Portalsystem zu erzielen.

Es zeigt ein medizinisches Bild mit einem Katheter und einem Kontrastmittel in den Gelenken.

Therapie seltener Gefäßerkrankungen

Die Therapie von Gefäßmißbildungen (vaskulären Malformationen) erfordert ein hohes Maß an interventionell-radiologischer Differenzierung, da ein Potpourri an modifizierten Techniken vorgehalten werden sollte, um eine individualisiert-optimierte Therapie dieser komplexen Pathologien gewährleisten zu können. Unsere langjährige Erfahrung kommt derzeit in erster Linie unserer Gruppe von an M. Osler-Rendu-Weber erkrankten Patientinnen und Patienten zu Gute.

Nonvaskulär-Minimalinvasive Therapieverfahren

Beispiele für nicht-vaskulär interventionelle Maßnahmen sind Ultraschall-, CT- und MRT-gesteuerte Prozeduren. Hierzu gehören Biopsien mit bildgestützten Gewebeentnahmen, Drainagenanlagen zur Ableitung von entzündlichen Flüssigkeiten, die CT gesteuerte periradikuläre oder epidurale Schmerztherapie mit CT-gesteuerter lokaler Injektion von Analgetika, jedoch auch lokal ablative Tumortherapieverfahren, wie die Mikrowellentherapie, Kryotherapie und die Radiofrequenzablation, die am häufigsten für parenchymatöse Organe zum Einsatz kommt.

 

Die Mehrzahl der oben genannten patientenschonenden interventionell-radiologischen Therapien werden in der Abteilung für Diagnostische und Interventionelle Radiologie auf hohem technischen Niveau durchgeführt.