Radiologische Methoden

Konventionelles Röntgen

Eine medizinische Fachkraft richtet ein Röntgengerät aus, während ein Patient mit freiem Rücken davor steht.
Röntgenbild eines menschlichen Brustkorbs, zeigt Rippen und Lungen.

 

Röntgenstrahlen werden von unterschiedlichen Geweben des Körpers unterschiedlich stark absorbiert. Das nutzen wir, um ein Röntgenprojektionsbild des zu untersuchenden Körperteils zu erstellen. Typischerweise diagnostizieren wir so Herz- und Lungenerkrankungen, Knochenerkrankungen und -brüche, aber auch andere Krankheiten.

 

Untersuchungsablauf

Unsere medizinisch-technische Assistenz (MTRA) erstellt nach Absprache mit dem ärztlichen Personal in einem standardisierten Ablauf ein Röntgenbild des Körperteils, das wir untersuchen wollen. Diese Körperregion bringen wir für die Aufnahme in eine bestimmte Position zwischen Röntgenröhre und Röntgenfilm. Das Röntgenbild wird innerhalb des Bruchteils einer Sekunde aufgenommen. Sie sollen sich während dieser Zeit nicht bewegen. Denn Bewegung während der Belichtung kann – ähnlich wie bei einer Fotografie – zu einem unscharfen Bild führen. Häufig machen wir eine zusätzliche zweite Aufnahme in gedrehter Position.

Nebenwirkungen

Die Strahlenbelastung für eine Röntgenaufnahme (Röntgen-Thorax unter 0,05 mSv) liegt in der Regel unterhalb der Dosis, die wir aus der Umwelt jährlich aufnehmen (ca. 2 mSv pro Jahr). Bei bestimmten Röntgenspezialuntersuchungen kann diese aber auch höher ausfallen. Wir prüfen vorab, dass der Nutzen der Untersuchung die potentiellen Schädigungen durch die Strahlenbelastungen überwiegt (rechtfertigende Indikation). Für weitere Informationen zu diesem Thema können Sie sich auf der Internetseite des Bundesamtes für Strahlenschutz informieren.

Kontraindikationen

Bei einer Schwangerschaft wägen wir sehr genau ab, ob eine Röntgenuntersuchung zwingend erforderlich ist. Entscheidend hierfür sind vor allem der Zeitpunkt der Schwangerschaft – im ersten Drittel der Schwangerschaft ist der Embryo besonders empfindlich – und die Art der Aufnahme. So ist etwa eine Röntgenuntersuchung der Hand oder des Fußes bei entsprechenden Vorsichtsmaßnahmen häufig unbedenklich. Aufnahmen der Brust, des Bauches oder der Wirbelsäule machen wir bei Schwangeren in der Regel nur im Notfall und mit maximal eingeschränktem Programm dosisreduzierend.

Ultraschall (Sonographie)

Eine Ärztin führt eine Ultraschalluntersuchung bei einem Patienten durch, der auf einer Liege liegt.
Ultraschallbilder von Organen im Bauchraum. Links und rechts sind unterschiedliche Aufnahmen des selben Bereichs.

 

Der Ultraschall ist für den menschlichen Körper gefahrlos und kann schnell durchgeführt werden. Wir setzen ihn daher an den verschiedensten Organsystemen häufig als erste diagnostische Methode ein. Mit einem Schallkopf senden wir harmlose Ultraschallwellen in den Körper. Die Schallwellenreflexion wird anschließend vom Schallkopf empfangen und in ein Bild umgewandelt. So erhalten wir hochauflösende Aufnahmen der Organe und erkennen krankhafte Prozesse.

Unsere Abteilung deckt das gesamte Spektrum der Sonographie inklusive der farbkodierten Duplex-Sonographie bei Erwachsenen ab. Wir machen Sonographien für viele Fachbereiche. Besondere Schwerpunkte sind:

  • Onkologische Diagnostik, für Innere Medizin, Kardiologie, Geriatrie, Allgemeinchirurgie, Plastische Chirurgie
  • Notfalldiagnostik
  • Muskuloskelettale Sonographie, für Unfallchirurgie und Orthopädie

 

Für die Ultraschalluntersuchung melden Sie sich bitte an der Leitstelle Radiologie.

 

Untersuchungsablauf

Während der Ultraschalluntersuchung liegen Sie in der Regel mit dem Rücken auf einer Liege. Die Ärztin oder der Arzt fährt das Untersuchungsgebiet mit dem Schallkopf ab. Damit die Schallwellen in das Gewebe eindringen können, bestreichen wir die Region, die untersucht wird, mit Gel. So kann der Schallkopf angekoppelt werden. Gegebenenfalls bekommen Sie während der Untersuchung Atemkommandos von uns. Damit bewegen wir Organe im Bauchraum in eine überlagerungsfreie Position und können ihre Bewegung untersuchen.

 

Nebenwirkungen

Die Schallwellen sind für den menschlichen Körper unbedenklich. Es gibt keine Kontraindikationen für eine Ultraschalluntersuchung.

 

Vorbereitung

Falls bei Ihnen eine Ultraschalluntersuchung des Bauchraums geplant ist, bitten wir Sie, möglichst nüchtern zu erscheinen. Auf Flüssigkeiten müssen Sie nicht notwendigerweise verzichten.

 

 

Computertomographie (CT)

Eine Frau in Krankenhauskleidung bedient einen CT-Scanner, während eine Patientin auf dem Tisch liegt.
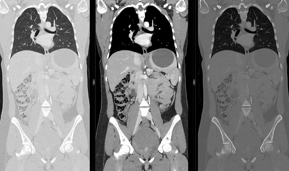
Drei CT-Bilder eines Brustkorbs mit Lungen, Herz und Bauchorganen in unterschiedlichen Durchleuchtungsstufen.

 

Die Computertomographie schafft eine volumetrische Darstellung unterschiedlicher Körperregionen. Mit einem rotierenden Röntgenstrahlenbündel strahlen wir den Körper durch. Die geschwächten Projektionen lesen wir durch einen Detektor aus und speichern sie in einer Matrix (Rohdatensatz). Ein Computer berechnet anschließend zweidimensionale oder dreidimensionale Bilddatensätze durch den menschlichen Körper. Die Computertomographie ist eines der wichtigsten radiologischen Verfahren. Sie diagnostiziert unterschiedliche Erkrankungen – u.a. Lungengerüsterkrankungen, Tumore, Knochenbrüche, Blutungen und Entzündungen.

 

Untersuchungsablauf

Eine geschulte medizinisch-technische Assistenz (MTRA) informiert Sie vor der Untersuchung in einem Aufklärungsgespräch über mögliche Komplikationen. Die Radiologin bzw. der Radiologe entscheidet mit Ihnen und den weiteren behandelnden Ärztinnen und Ärzten, ob Sie ein Kontrastmittel bekommen und legt den individuellen Untersuchungsablauf fest. Die eigentliche Untersuchung im Computertomographen dauert nur wenige Minuten. Sie liegen dabei in der Regel auf dem Rücken, die Arme über den Kopf angehoben. Unsere Geräte haben eine große Öffnung.

 

Nebenwirkungen

Die Strahlenbelastung bei einer Computertomographie liegt je nach Untersuchung etwa zwischen 0,2 und 18 mSv. Die natürliche Strahlenbelastung in Deutschland liegt bei ca. 2 mSv pro Jahr. Für weitere Informationen zu diesem Thema können Sie sich auf der Internetseite des Bundesamtes für Strahlenschutz informieren.

 

Kontraindikationen

Es bestehen keine absoluten Kontraindikationen gegen eine CT-Untersuchung. Schwangere sollten aufgrund der Kindesgefährdung durch Röntgenstrahlung nur in Ausnahmefällen untersucht werden. Bei bekannter Kontrastmittelallergie, Überfunktion der Schilddrüse oder Nierenerkrankungen wägen wir Risiken und Nutzen sorgfältig ab und treffen zusammen mit Ihnen eine Entscheidung.

 

Vorbereitung

Für die Computertomographie soll eine aktuelle Blutwertbestimmung folgender Parameter vorliegen:

  • Kreatinin-Wert
  • TSH-Wert
  • T3- und T4-Werte

 

Ihre Hausärztin bzw. Ihr Hausarzt kann diese bestimmen und Ihnen den Laborbefund mitgeben. Falls Sie unter Diabetes leiden und medikamentös mit Metformin behandelt werden, sollten Sie dieses Medikament nach Rücksprache mit Ihrer Hausärztin bzw. ihrem Hausarzt ggf. zwei Tage vor der Untersuchung absetzen. Falls vorhanden, bringen Sie bitte einen Allergie- und/oder Röntgenpass mit.

 

 

Magnetresonanztomographie (MRT, Kernspintomographie)

. Person in einer MRT-Röhre, betreut von medizinischem Personal.
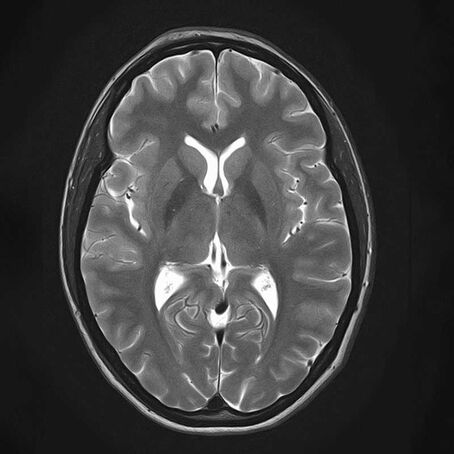
. Ein MRT-Scan eines menschlichen Gehirns, axialer Schnitt, zeigt Strukturen und Gewebe.
T2-gewichtete HR Sequenz des Neurokraniums
Das Bild zeigt ein MRT eines menschlichen Knies, mit Fokus auf Bänder und Gelenkstruktur.
MRI eines Kniegelenks, zeigt Knochen- und Gewebestrukturen seitlich im Querschnitt.

 

Die Magnetresonanztomographie stellt sämtliche Körperregionen überlagerungsfrei dar. Das Magnetfeld ist für den menschlichen Körper ungefährlich. Die Magnetresonanztomographie ist ambulant wegen des exzellenten Gewebekontrastes das wichtigste röntgenstrahlenfreie radiologische Diagnoseverfahren.

 

Untersuchungsablauf

Vor der Untersuchung klären wir Sie über den Untersuchungsablauf auf. Bitte bringen Sie die Unterlagen zu Ihrer Krankengeschichte mit. Detaillierte Informationen zu Ihren Vorerkrankungen können bedeutend sein. Wir werden Sie bitten, sich umzuziehen und sämtliche Gegenstände aus Metall abzulegen. Hierzu gehören Feuerzeuge, herausnehmbarer Zahnersatz, Kleingeld, Schmuck und Piercings oder Haarnadeln. Danach bringen wir Sie in den Untersuchungsraum. Der Scanner sieht einem Computertomographen sehr ähnlich. Der Innendurchmesser der Röhre (Gantry) beträgt 72 cm. Die Gantry ist so kurz, dass Sie nie vollständig in der Röhre liegen, sondern in aller Regel nur mit einem Teil Ihres Körpers. Bitte teilen Sie uns bei der Terminvergabe mit, falls Sie zu Platzangst neigen. Während der Untersuchung entstehen Klopfgeräusche. Daher erhalten Sie einen Gehörschutz. Während der gesamten Untersuchung sind Sie nicht allein. Wir sind die gesamte Zeit erreichbar. Sie können über eine Gegensprechanlage mit uns sprechen. Die Untersuchung dauert je nach Körperregion zwischen 15 und 60 Minuten.

 

Nebenwirkungen

Es gibt keine Nebenwirkungen, da keine Röntgenstrahlen eingesetzt werden. Es sind keine Schädigungen durch die bei der MRT eingesetzten Magnetfelder und elektromagnetischen Hochfrequenzfelder bekannt. Die MR-Kontrastmittel, die wir einsetzen, sind sehr gut verträglich. Dennoch führen wir die meisten Untersuchungen nativ, also ohne Kontrastmittel durch.

 

Vorabinformation

Patientinnen und Patienten mit elektronischen Implantaten – u.a. Herzschrittmacher, Innenohrprothese, Insulinpumpe, Neurostimulator – können wir nur eingeschränkt im MRT untersuchen. Erwähnen Sie bitte einen Herzklappenersatz bei der Terminvereinbarung. Gleiches gilt für größere metallhaltige Implantate wie Hüft-, Schulter- oder Knieprothesen. Jeglicher Zahnersatz ist nicht problematisch. Haben Sie schwere Allergien oder eine weit fortgeschrittene Nierenerkrankung, wägen wir ab, ob wir eine Kontrastmittelgabe machen können. Falls Sie zu Platzangst neigen, erwähnen Sie das bitte bei der Terminvereinbarung. Dann ermöglich wir vorbereitend eine effektive medikamentöse Behandlung (s.u.).

 

Vorbereitung

Für die Magnetresonanztomographie sollte eine aktuelle Blutwertbestimmung folgender Parameter vorliegen: Kreatinin und der sogenannte GFR-Wert. Bitte teilen Sie uns vor der Untersuchung mit, ob Sie an Diabetes leiden. Falls vorhanden, bringen Sie bitte einen Allergiepass mit. Sollten Sie ein Implantat haben, beispielsweise Knieprothese oder Hüftprothese, legen Sie bitte Ihren Implantatausweis vor.

Bei Platzangst können wir Ihnen zur Entspannung ein Medikament verabreichen, sodass Sie die Untersuchung ohne Angst oder Beklemmungsgefühl absolvieren können. Im Anschluss dürfen Sie dann nicht selbst ein Fahrzeug steuern. Wir empfehlen daher, dass Sie von einem Angehörigen begleitet werden.

 

 

Angiographie (DSA)

Röntgenaufnahme der Aorta mit Kontrastmittel, zeigt den Blutfluss und mögliche Anomalien.

 

Bei einer Angiographie machen wir die Gefäße mithilfe von Kontrastmitteln unter einer Röntgendurchleuchtung sichtbar. Zugang zu den Gefäßen bekommen wir in der Regel über die linke Ellenbeuge bzw. die rechte oder linke Leiste. Gefäßverengungen können wir über denselben Zugangsweg, z.B. mithilfe spezieller Ballons und Gefäßstützen (sog. Stents), behandeln. Außerdem können wir über den Katheter, der in der zuführenden versorgenden Arterie platziert wird, Chemotherapeutika (transarterielle Chemoembolisation: TACE) injizieren. So können Lebertumore minimalinvasiv behandelt werden. Unsere Abteilung bietet mit der Angiologie das gesamte Spektrum der angiographischen Diagnostik und Intervention an – Eingriffe an gehirnversorgenden Gefäßen ausgenommen. Für eine Angiographie melden Sie sich bitte an der Leitstelle Radiologie bzw. der Leitstelle Angiologie (Standort Neu-Mariahilf).

 

Vorbereitung

In einem persönlichen Gespräch reden Sie mit einer Radiologin bzw. einem Radiologen oder einer Angiologin bzw. Einem Angiologen über den geplanten Eingriff. Thematisiert werden u.a. Risiken und ggf. alternative Behandlungsmethoden. Die Leitstelle Radiologie ist zentrale Anlaufstelle zur Terminvereinbarung von Kontrolluntersuchungen. Hier informieren wir Sie über alle notwendigen und vorbereitenden Schritte. Bitte bringen Sie zur Erstvorstellung folgende Unterlagen mit: aktuelle Arztbriefe, sämtliche auswärtige Bildmaterialien auf CD/DVD, aktuelle Blutwerte (Kreatinin und TSH nicht älter als vier Wochen). Bei der Terminvereinbarung nennen wir Ihnen eventuell weitere Unterlagen, die Sie benötigen.

 

Untersuchungsablauf

Vor dem Eingriff sprechen wir ausführlich mit Ihnen über den Eingriff und klären Sie über mögliche Risiken auf. Bitte essen und trinken Sie am Tag des Eingriffs sechs Stunden vorher nichts. Fragen Sie Ihre behandelnde Ärztin bzw. Ihren behandelnden Arzt bezüglich der Einnahme von Tabletten. Unter lokaler Betäubung punktieren wir ein geeignetes Zugangsgefäß. Wir bringen ein Zugangsröhrchen (Schleuse) in ein Gefäß in der Leiste ein und machen den Eingriff über einen Katheter. Abschließend setzen wir an der Punktionsstelle der Arterie ein Verschlusssystem ein und legen einen Kompressionsverband an. Dieser soll zwölf Stunden anliegen, um das Risiko einer Nachblutung in der Leiste zu minimieren. In dieser Zeit müssen Sie Bettruhe wahren. Daher behalten wir Sie bis zum nächsten Tag auf Station.

 

Kontraindikationen

Kontraindikationen sind bekannte allergische Reaktionen auf jodhaltige Kontrastmittel oder Begleiterkrankungen, bei denen der Eingriff nicht oder nur mit einem erhöhten Risiko durchführbar ist. Diese Punkte besprechen wir mit Ihnen vorab persönlich.