Somatischer Bereich - Diagnostik

Thoraxradiologie

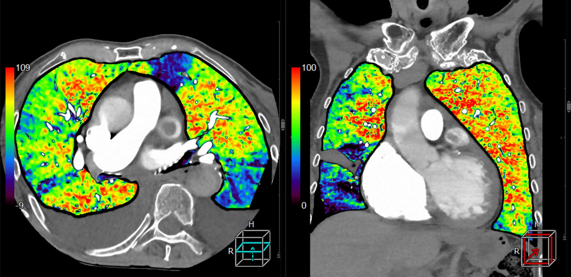
. Ein CT-Scan der Lunge in zwei Ansichten, mit farbcodierten Bereichen zur Darstellung der Gewebedichte.
Perfusionsstudie mit Dokumentation Embolie-bedingter Mikrozirkulationsstörungen (blau)
. Ein CT-Scan der Lunge zeigt multiple dunkle Bereiche und verdichtetes Gewebe.
Dünnschicht-CT bei Allergen-bedingter Lungenfibrose und zusätzlicher aktiver Pneumonitis (Subakute und chronische Hypersensitivitätspneumonitis)

Die Thoraxradiologie ist spezialisiert auf die bildgebende Diagnostik von Erkrankungen der Lungen, der Atemwege und umgebenden Strukturen des Brustkorbs. Dies beinhaltet: die chronische obstruktive Lungenerkrankung (COPD), Pneumonien, Gefäßerkrankungen, unklare Lungenrundherde, Tumoren der Lungen, der Pleura, der Thoraxwand und des Mediastinums, und interstitielle Lungenerkrankungen, die das Lungengerüst betreffen.
  
Um Erkrankungen der Lunge und Thoraxorgane abzuklären, fertigen wir in vielen Fällen zunächst eine konventionelle Röntgenthoraxaufnahme im Stehen an. Bei unklaren Röntgenbefunden oder, um pathologische Veränderungen genauer zu charakterisieren, kann eine Computertomographie (CT) des Thorax erforderlich sein. Dank unserer langjährigen Erfahrung und modernsten Geräten mit künstlicher Intelligenz bieten wir alle Untersuchungen mit äußerst geringer Strahlenbelastung an. Modernste Computerapplikationen ermöglichen Detektion, Quantifikation und funktionelles Assessment von Lungenerkrankungen und einen minimal-invasiven interdisziplinären Zugang zu vielen Therapien.

 

Schwerpunkte unserer CT-gesteuerten interventionellen Arbeit sind darüber hinaus:

  • bildgesteuerte, perkutane (durch die Haut) Gewebebiopsien
  • therapeutische Drainageanlagen bei entzündlichen Flüssigkeitsansammlungen und Abszessen
  • Markierungen kleiner Lungenrundherde vor minimalinvasiver Thoraxchirurgie
  • Ablation (Entfernung) von Lungenrundherden

 

Thoraxonkologische Fragen werden im Rahmen der Comprehensive-Cancer-Center-Lungenkonferenz (CCC) behandelt. Wir diskutieren jeden Fall interdisziplinär mit Vertreterinnen und Vertretern der Pneumologie, Thoraxchirurgie, Onkologie, Strahlentherapie, Pathologie, Nuklearmedizin und Radiologie und erstellen eine individuelle Therapieempfehlung.

 

 

Muskuloskelettale Radiologie

Interaktive 3D-Datensatz einer T2 - Sequenz zur Beurteilung von Knorpelmorphologie und darunterliegender Knochengrenze
. Ein MRT-Bild eines menschlichen Knies im sagittalen Schnitt, das Knochen und Gelenkstrukturen zeigt.
Coronare Protonengewichtete MRT mit Fettsättigung
. Zwei MRT-Aufnahmen eines Knöchels mit Fokus auf Knochen und Bänder.
Beidseitige Achillessehnenruptur nach antibiotischer Therapie mit Fluorchinolonen

 

 

Die muskuloskelettale Radiologie beinhaltet bildgebende Verfahren, mit denen wir krankhafte Veränderungen der Knochen, Gelenke, Muskeln, Sehnen und Bänder erkennen und minimalinvasiv behandeln. Neben sämtlichen bildgebenden Methoden enthält sie zahlreiche therapeutische Interventionsverfahren. Wir bieten das gesamte Spektrum der Diagnostik des Bewegungsapparates von Erwachsenen und Kindern an. Dabei setzen wir die Verfahren ein, die für die verschiedenen Erkrankungen sinnvoll sind. Wir wurden 2022 von der Deutschen Röntgengesellschaft als Zentrum für Muskuloskelettale Radiologie zertifiziert.

 

Trauma und Sportverletzungen

Akute Verletzungen und chronische Überlastungsschäden von Gelenken, Bändern, Sehnen, Muskeln und Knochen gehören zu den häufigsten Erkrankungen – auch außerhalb von Profi- und Freizeitsport. Wir haben langjährige Erfahrung in der Diagnostik solcher Verletzungen und erproben bildgebende Verfahren zur Gelenk-, Knorpel- und Sehnendiagnostik. Neben der konventionellen Diagnostik sind wir versiert in der Knorpelbildgebung und der MRT- bzw. CT-Arthrographie der Gelenke.

 

Postoperative Bildgebung, Prothesen

Seit vielen Jahren machen wir bildgebende Untersuchungen nach Operationen an Gelenken – wie dem Schulter-, Knie- und Sprunggelenk – sowie bei symptomatischen Hüft- und Kniegelenksprothesen. Nach operativen Eingriffen an Gelenken, Knochen und Weichteilen oder nach einer Gelenkprothesenimplantation können Beschwerden auftreten. Diese sind für Patientinnen und Patienten oft sehr belastend. Metallische Implantate wie Schrauben, Platten oder künstliche Gelenke sind für die CT- und MRT-Diagnostik meistens kein Hindernis, wenn geeignete Techniken eingesetzt werden. Postoperative Aufnahmen beurteilen zu können, erfordert große Erfahrung und genaue Kenntnis von den durchgeführten chirurgischen Eingriffen und den verwendeten Materialien.

 

Entzündliche Knochen- und Gelenkerkrankungen

Entzündliche Veränderungen von Knochen, Gelenken und Weichteilen werden durch Infektionen oder Erkrankungen des rheumatischen Formenkreises verursacht. Sie können in jedem Lebensalter auftreten. Nicht selten werden entzündliche Erkrankungen des Bewegungsapparates aber verkannt oder als Tumorerkrankungen fehlinterpretiert. Die bildgebende Diagnostik ist für eine exakte Befunderhebung und damit Einleitung einer effektiven Behandlung bedeutend. Wir führen etablierte Untersuchungen durch, um entzündliche Erkrankungen des muskuloskelettalen Systems nachzuweisen – einschließlich Ganzkörper-MRT.

 

 

Traumatologische Radiologie

. Ein medizinischer Fachmann bereitet eine Person auf einer Krankenliege für eine Röntgenaufnahme vor.
Röntgen der Brustwirbelsäule
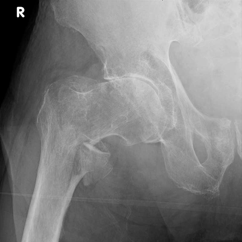
. Röntgenaufnahme eines rechten Hüftgelenks, zeigt Knochen und Gelenkstruktur.
AP-Hüfte rechts mit pertrochantärer Femurfraktur

Die Notfall- und Traumaradiologie ist ein wesentlicher Bestandteil der diagnostischen Radiologie. Hier erkennen wir in enger Zusammenarbeit mit den Ärztinnen und Ärzten der Notaufnahme die Verletzungen von verunfallten und schwerverletzten Patientinnen und Patienten. Darüber hinaus spielt sie auch bei leichteren, alltäglichen Verletzungen eine wichtige Rolle. Wir setzen modernste bildgebende Verfahren ein, um die Verletzungen genau zu untersuchen.

 

Unser Haus hat einen Hubschrauberlandeplatz und eine zentrale Zufahrt für Not- und Einsatzfahrzeuge. Das garantiert die schnellstmögliche Aufnahme von Patientinnen und Patienten und eine reibungslose Überführung in die ZNA mit Schockraumzentrum – rund um die Uhr an sieben Tagen der Woche. Dort entscheidet ein fachübergreifendes Notfallteam über die weitere Versorgung.

 

In Notfallsituationen ermöglichen wir innerhalb weniger Minuten ein optimiertes Therapieverfahren, indem wir das Verletzungsmuster in der Multislice-Computertomografie beurteilen. Komplexe Verletzungsmuster erfassen wir so in kürzester Zeit, klassifizieren und kommunizieren sie leitliniengerecht.

 

Neben der Behandlung von schwerverletzten Patientinnen und Patienten befasst sich die Notfall- und Traumaradiologie auch mit dem breiten Spektrum leichterer, nicht lebensbedrohlicher Verletzungen. Diese treten vor allem im Alltag auf. Es handelt sich u.a. um Prellungen, Platzwunden oder Knochenbrüche. Um deren Ausmaß zu beurteilen, haben wir neben der Computertomografie (CT) auch die Magnetresonanztomografie (MRT) sowie die Röntgen- und Ultraschalldiagnostik.

 

 

Neuroradiologie

. Ein MRT-Scan eines menschlichen Gehirns, axialer Schnitt, zeigt Strukturen und Gewebe.
T2-gewichtete HR Sequenz des Neurokraniums
. Dies ist ein MRT-Bild eines menschlichen Gehirns in horizontaler Ansicht.
Protonen-gewichtete Sequenz des Neurokraniums

 

. Das Bild zeigt einen MRT-Scan des menschlichen Gehirns in axialer Ansicht.
Suszeptibilitäts-gewichtete 3D-Sequenz des Neurokraniums
. Ein MRT-Scan des Gehirns mit klaren Strukturen und Details der Hirnrinde.
Coronare Double Inversion Recovery Sequenz des Neurokraniums

Um Erkrankungen des Gehirns und der Wirbelsäule zu diagnostizieren, sind modernste Technik (MRT, CT) und ein hohes Maß an Spezialisierung erforderlich. Unsere Neuroradiologie setzt modernste Großgeräte für die Bildgebung des Zentralnervensystems (ZNS). Software- und Hardwareentwicklungen erlauben es, Hirnstoffwechsel und Hirndurchblutung optimal darzustellen. Wir haben uns daneben auf die neuroradiologische Diagnostik degenerativer, traumatischer und entzündlicher Gehirn- und Rückenmarksfragestellungen spezialisiert. Dabei kooperieren wir mit dem Asklepios Fachklinikum Göttingen bei psychiatrisch-neurologischer MRT-Bildgebung. Diagnostik und minimalinvasiver Therapie degenerativer Wirbelsäulenerkrankungen ist Teil unseres Wirbelsäulenzentrums.

 

 

Allgemeine abdominelle Radiologie

Die allgemeine abdominelle Radiologie behandelt häufige Erkrankungen des Bauchraumes, die in unserem Haus insbesondere auch durch die zentrale Notaufnahme als Notfalldiagnostik in unsere Abteilung kommen. Hier ist das Anforderungsspektrum als ein ganz anderes, als in den stärker    subspezialisierten Bereichen. Es zählen hier häufig schnelle Diagnostik und Kommunikation zu den anfordernden Abteilungen. Fragestellungen dieses Bereiches erfolgen somit am häufigsten in den Zeiten der Dienstbereitschaft und erfordern ein hohes Maß and Erfahrung und Selbständigkeit der MTRA und des radiologischen Dienstarztes. Alle Kolleginnen und Kollegen in der Facharztausbildung werden durch die beiden erfahrensten Radiologen im Hintergrund unterstützt.

 

 

Kardiovaskuläre Radiologie

3D-Darstellung eines Herzens mit Blutgefäßen, CT-Aufnahmen zeigen Details der Herzstruktur.
Ein Bild von Blutgefäßen im menschlichen Körper, dargestellt durch eine digitale Angiographie.

 

Die kardiovaskuläre Bildgebung behandelt Erkrankungen des Herzens und der Gefäße. Die 80-Zeilen Computertomographie und 3 Tesla Magnetresonanztomographie ermöglichen hier optimale hochspezialisierte Untersuchungsmöglichkeiten. Die Patientenauswahl und Indikationsstellung erfolgt interdisziplinär, u.a. mit der Kardiologie und Angiologie, ebenso jedoch mit den operativen Fächern Plastische Chirurgie, Unfallchirurgie, Allgemeinchirurgie und Urologie.

 

Aufgrund der kurzen Untersuchungszeiten setzen wir die CT bevorzugt bei dringlichen Fragestellungen ein. Sie ist unter anderem Goldstandard für die Untersuchung von Lungenarterienembolien. Wir nutzen sie, um minimalinvasive Verfahren zu indizieren und zu planen. Verletzungen großer Gefäße, wie der Hauptschlagader, sind eine zentrale Domäne der CT Erstliniendiagnostik.

 

Ist eine sehr hohe Genauigkeit bzw. Ortsauflösung erforderlich, um diagnostische Aussagen zu kleinen peripheren Gefäßabschnitten zu geben, nutzen wir CT für die anatomische Feindarstellung im hochauflösenden 0,5 mm-Bereich und die MRT oft zur Erfassung funktioneller Zusatzinformationen, wie Perfusions-, oder Diffusionspathologien. Die Ergebnisse spielen oft eine entscheidende Rolle bei Therapieplanungen. So können Untersuchungen vor der minimalinvasiven Implantation von Aortenprothesen bzw. zusätzliche Therapieplanungen nach erfolgter Behandlung großer Aneurysmen äußerst genau und Patienten-schonend durchgeführt werden. Sie liefern der Operateurin bzw. dem Operateur essenzielle Informationen für spätere Eingriffe. Auf die gesamte diagnostische Information können wir während minimal-invasiver operativer Eingriffe vor Ort zugreifen.

 

Ein weiterer Schwerpunkt ist die computertomografische Untersuchung der Herzkranzgefäße. Dabei messen wir zunächst die vorhandenen Kalkablagerungen, vergleichen die gemessenen Werte mit Durchschnittswerten und bestimmen das individuelle Herzinfarktrisiko. In den meisten Fällen ersparen wir den Patientinnen und Patienten eine invasive Herzkatheteruntersuchung. Anschließend stellen wir mit der nichtinvasiven CT-Angiographie die Herzkranzgefäße direkt dar. Damit legen wir fest, ob eine invasive Herzkatheteruntersuchung durchführt werden muss. Indikation und Interpretation der Untersuchung erfolgt daher in enger Zusammenarbeit mit der Kardiologie in entsprechenden Konferenzen. Unsere international standardisierte Dokumentation, die mit der aktuellen Praxis in Herzkatheterlaboren kompatibel ist, schafft eine strukturierte Befundung. Dieses Vorgehen ermöglicht eine schnelle und exakte interdisziplinäre Kommunikation der Untersuchungsergebnisse.

 

Die Magnetresonanztomografie erfasst detailliert neben der Herzbewegung die Durchblutung des Myokards und Stoffwechselparameter des Herzmuskels. Hierbei werden die Größe eines Herzinfarkts, prognostische Parameter für eine Revaskularisationstherapie und ihr therapeutischer Nutzen bestimmt, aber auch Herzmuskelentzündungen detektiert. Zusätzlich misst die kardiale MRT den Blutfluss an verschiedenen Positionen im Herzen. So detektieren wir pathologische Veränderungen an den Herzklappen und den herznahen großen Gefäßen, wie z.B. angeborene Herzfehler, und können sie weiterführender Diagnostik und Therapie zuführen. Die MRT-Untersuchung des Herzens berechnet genau die Pumpleistung der linken Herzkammer. Entsprechend den aktuellen kardiologischen Leitlinien verwenden wir für die MRT am Herzen moderne, quantitative Methoden (T1-, T2-, T2*-Mapping) für die Ischaemiediagnostik, die „Strainanalyse“ der Wandbelastung sowie zur Analyse von Wandbewegungsstörungen.

 

In der kardialen MRT messen wir ab 2022 die Durchblutung des Herzmuskels, auch unter Belastung. Diese Belastung ist nur kurz. Wir erzielen sie mit kontrollierter schonender Medikamentengabe. Mit dieser Untersuchung beurteilen wir die Auswirkung von Engstellen der Herzkranzgefäße und damit die potentielle Gefahr eines Herzinfarktes.
Unter besonderen Vorausstezungen bieten wir die kardiovaskuläre Bildgebung im MRT auch Patienten mit Herzschrittmacher an.

 

 

Medizinischer Bericht mit Herzvolumenmessungen, Wandverdickungsdaten und Grafiken.

Onkologische Radiologie

Zwei Personen in medizinischer Kleidung betrachten MRT-Bilder an Computermonitoren in einem Kontrollraum.
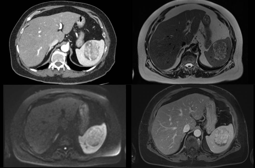
Ein CT- und MRT-Scan des menschlichen Bauchs, wahrscheinlich zur Untersuchung eines Organs.

Dieses Fachteilgebiet ist spezialisiert auf die Erkennung, Beurteilung der Ausdehnung und Therapieüberwachung bei Tumorerkrankungen sowie auf zugehörige interventionelle Verfahren. Die Onkologie schließt eine große Zahl an sehr unterschiedlichen und auch seltenen Krankheiten ein. Jedes Organsystem und Gewebe kann betroffen sein. Daher ist die onkologische Bildgebung ähnlich den klinischen Fachgebieten unterteilt. So gehört die Diagnostik von Tumoren der Mundhöhle zur Kopf-Hals-Radiologie und die perkutane (durch die Haut) Biopsie von Lebertumoren zur hepatobiliären Radiologie.

 

Bei Verdacht auf eine Tumorerkrankung müssen nach der initialen Bildgebung und weiteren Staginguntersuchungen standardisiert repräsentative Gewebeproben für die histologische Untersuchung und molekulare Analyse durch die Pathologie gewonnen werden. Lassen sich Gewebeproben aus dem Körperinneren nicht endoskopisch gewinnen, führen wir häufig bildgesteuerte, perkutane Biopsien durch. Insbesondere mit der CT sind auch sehr schwer zugängliche Regionen in Thorax oder Abdomen bzw. fokale Knochenläsionen sicher punktierbar. Um bestimmte Tumorerkrankungen zu therapieren, setzen wir radiologisch-bildgesteuerte, perkutane Verödungsverfahren (Ablationen) ein. Auch Katheter-basierte Verfahren, wie die transarterielle Chemoembolisation oder die Pfortaderteilembolisation zur Volumenkonditionierung der Leber vor chirurgischen Resektionsverfahren stehe uns hier zur Verfügung.

 

Bestätigt sich eine Tumorerkrankung, erstellen wir – in Zusammenschau der klinischen Befunde, Laborwerte, Bildgebung und Pathologie – ein individuelles Therapiekonzept. Dazu führen wir in unserem Haus und übergreifend in Kooperation mit der Universitätsmedizin Göttingen und anderen Partnern subspezialisierte interdisziplinäre Konferenzen mit Expertinnen und Experten aus allen beteiligten Fachgebieten durch. Hierbei kommt den Befunden der bildgebenden Diagnostik eine Schlüsselfunktion zu. Wir können so ein optimiertes individuelles Therapiekonzept festlegen und den Therapieerfolg kontrollieren.

 

 

Hepatobiliär-pankreatische Radiologie

Die internistische abdominelle Radiologie befasst sich mit der Diagnostik von Leber, Gallenwegen, Bauchspeicheldrüse (Pankreas), Milz und Gastrointestinaltrakt. Neben Sonographie und radiographischen Verfahren sind Computertomographie und Magnetresonanztomograhie die beiden Eckpfeiler der radiologischen Diagnostik. Aufgrund anatomischer und pathologischer Komplexität und prognostischer Faktoren besitzen hier Untersuchungen der Leber, der Gallenwege und der Bauchspeicheldrüse einen besonderen diagnostischen Stellenwert. So ist die Bildgebung gutartiger oder bösartiger neoplastischer Erkrankungen mit Tumoren der genannten Organe neben der Pathologie häufig diagnostischer Goldstandard. Diese Patienten werden in einer dezidierten subspezialisierten Fachkonferenz adressiert, die unseren onkologischen Fachkonferenzen vorgeschaltet ist. Dort wird neben zusätzlich erforderlichen Untersuchungen im Rahmen der Ausbreitungsdiagnostik (Staging) mit Expertinnen und Experten der Viszeralchirurgie, Inneren Medizin (Gastroenterologie), Onkologie, Strahlentherapie, Nuklearmedizin und Pathologie ein individualisiertes und leitliniengerechtes Therapiekonzept beschlossen.

 

Zu unseren Spezialkompetenzen zählen:

  • Tumoren der Leber
  • Erkrankungen des Gallenwegsystems
  • bildgebende Diagnostik des Pankreaskarzinoms und weiterer solider bzw. zystischer Raumforderungen der Bauchspeicheldrüse
  • sämtliche Anwendungen im Gastrointestinaltrakt bei neoplastischen oder entzündlichen Erkrankungen des Darms und des Mesenteriums

 

Neben der Diagnostik gehören die einschlägigen bildgestützten Interventionen (Biopsien, Drainagen, Mikrowellenablationen) zu unseren Leistungsschwerpunkten. Neben minimalinvasiven Kathetermethoden können wir mit thermoablativen Verfahren neoplastische Läsionen (z.B. in der Leber) hochpräzise lokal behandeln. Diese Verfahren sind zusätzlich zur chirurgischen und medikamentösen Behandlung der dritte Pfeiler einer optimalen, individualisierten Tumortherapie.

 

 

Urogenitale Radiologie, multiparametrische Prostatabildgebung

Es handelt sich um ein medizinisches MRT-Bild des Beckens, das die Prostata darstellt.
Es zeigt medizinische Bildgebung des Beckens mit farblich hervorgehobenem Bereich, möglicherweise zur Analyse von Gewebe.

 

Aufgaben der urogenitalen Radiologie sind – neben nichtonkologischen Krankheitsbildern wie Nierensteinen – die Darstellung und Charakterisierung von urologischen Neoplasien, die Suche nach ihren Metastasen im Rahmen des Tumorstagings, die Therapiekontrolle und die radiologische Tumornachsorge. Häufig untersuchte Tumore sind das Nierenzell-, Blasen- und Prostatakarzinom. In unserem Institut setzen wir mit der 80-Zeilen Multidetektor-CT und der 3 Tesla MRT hochmoderne Untersuchungsverfahren ein. Diese werden kontinuierlich weiterentwickelt und dem Stand der Wissenschaft angepasst. So hat sich in den letzten Jahren beispielsweise das multiparametrische MRT (mpMRT) der Prostata als optimales Verfahren bewährt, um Prostatakarzinome zu entdecken und darzustellen. Mit dieser strahlungsfreien Methode können wir Tumorherde identifizieren und klassifizieren. In der Abteilung für Urologie können so gezielt Gewebeproben entnommen werden, die auch kleinste Tumorareale erfassen. Wir nutzen bei urologischen Tumoren in besonderen klinischen Situationen nicht nur die bildgebende Diagnostik, sondern auch therapeutische interventionell-radiologische Verfahren, wie die Embolotherapie bei Neoplasien der Nieren.

 

 

MRI-Bild der Prostata, Umrisse und Parameter eines Tumors, Diagramme zur Fortschrittanalyse, Olea Medical-Logo.

 

 

Gynäkologische Radiologie

In enger Kooperation mit der Abteilung für Gynäkologie und Geburtshilfe bieten wir unseren Patientinnen vielfältige hochwertige Diagnoseverfahren. Im Vordergrund stehen neben gutartigen Erkrankungen wie der Endometriose, dem pelvinen Kongestionssyndrom oder dem Uterusmyom onkologische Erkrankungen von Zervix, Uterus, Ovarien und Adnexbereichen.


Die Hochfeld 3 Tesla-Magnetresonanztomografie ergänzt hier die transvaginale Sonographie und detektiert, charkterisiert die Läsionen und dokumentiert die Ausdehnung gynäkologischer Tumoren des kleinen Beckens. Die Multislice Spiral-Computertomographie hat hier ihren festen Stellenwert in der Stagingdiagnostik außerhalb des Beckens. Die Ergebnisse sind für eine stadiengerechte Therapieplanung essentiell. Auch für die Nachsorge, vor allem des Zervixkarzinoms nach einer Operation oder einer definitiven Radiochemotherapie, nutzen wir die Magnetresonanztomografie. In interdisziplinären onkologischen Fachkonferenzen erörtern wir mit Hilfe der radiologischen Untersuchungsergebnisse die Erkrankung jeder Patientin für die Empfehlung der individuell schonendsten und effektivsten Leitlinien-gerechten Therapie.

Die MRT setzen wir ein in der Abklärung von:

  • Tumoren der weiblichen Genitalorgane
  • angeborene Fehlbildungen von Vagina und Uterus
  • Endometriose
  • Beckenbodenschwäche, Inkontinenzerkrankungen
  • chronischem Beckenschmerzsyndrom